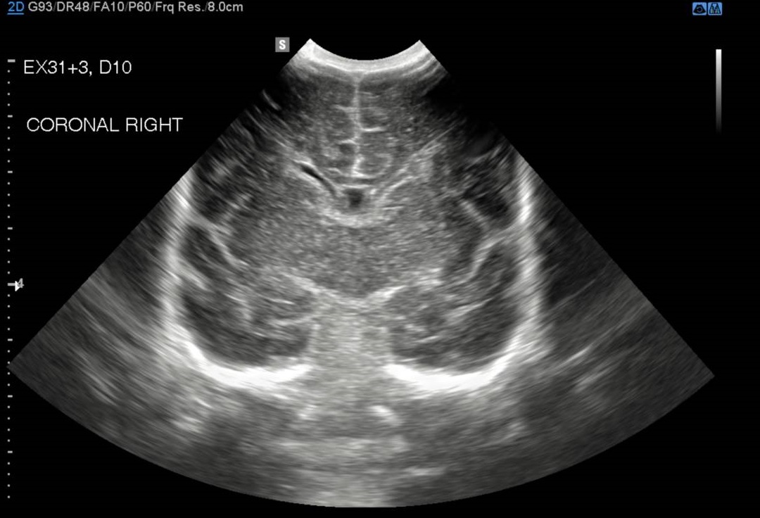
These key documents outline the NICU PoCUS program policy, structure, training and credentialing requirements. The cranial ultrasound images required are 4 coronal and 3 sagittal images.


.
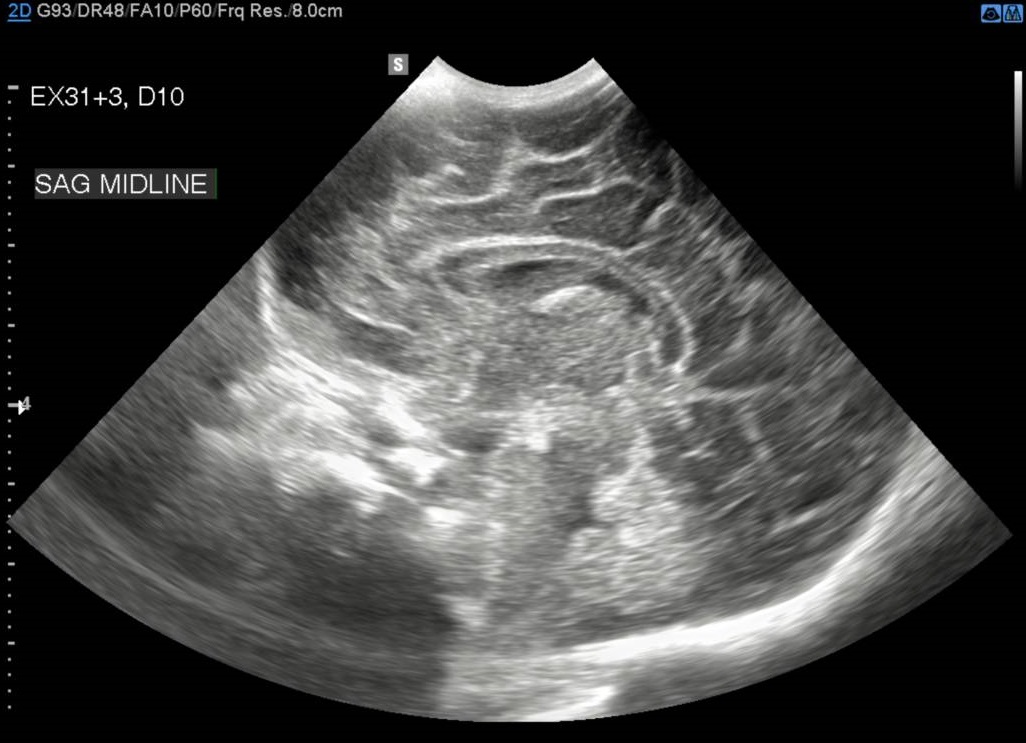
These key documents outline the NICU PoCUS program policy, structure, training and credentialing requirements. The cranial ultrasound images required are 4 coronal and 3 sagittal images.

